Features
Allgemein
Die Applikation beinhaltet eine 2D und eine 3D Umgebung. Es gibt ein Hauptmenü mit den Punkten File, View und Shader. Über den Menupunkt File können 3D Dichte-Daten aus einem .dat File geladen werden, Transferfunktionen gespeichert und geladen werden, Screenshots geschossen werden
und das Programm beendet werden.
Der Menüpunkt View beinhaltet Funktionen um zwischen dem 2D und 3D View hin und her zu schalten. Und um das Transferfunktions Fenster einzublenden bzw. auszublenden.
Im Menü Shader kann für den 3D View zwischen dem Shader MIP (Maximum Intensity Projection) und DVR (Direct Volume Rendering) umgeschaltet
werden.
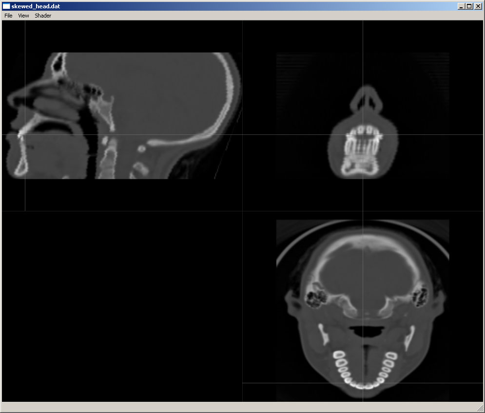
2D View
Im 2D View sieht man vom geladenen Model (hier skewed_head.dat) 3 Schichten (links oben von der Seite, rechts oben von Vorne und rechts unten von Oben) . Außerdem gibt es ein Koordinantekreuz, welches die Position für die einzelnen Schichten festlegt. Dieses Koordinatenkreuz kann mit der
Maus per Drag'n'Drop verschoben werden.
3D View
In der 3D Ansicht sieht man im Hauptfenster das geladene Model, dargestellt mittels des ausgewählten Shaders und der dazu gehörigen Transfer
Funktion. Mit der linken Maustaste kann per Drag'n'Drop das Model gedreht werden und mit dem Mausrad kann gezoomt werden.
Im unteren Bereich des Hauptfensters sieht man (falls eingeblendet) in einem DockWindow die Transferfunktion.

Transfer Funktion
Das Fenster der Transferfunktion beinhaltet im Hintergrund ein Histogramm von den Dichte-Daten des Modells. Diese sind in einer logarithmischen
Skalierung angezeigt. Darüber befindet sich ein Graph, dessen Werte die alpha-Werte der entsprechenden Dichtewerte angibt. Dieser kann
durch Hinzufügen und Entfernen von Knoten geändert werden. Zwischen den Knoten werden die Werte mittels kubischen Splines interpoliert.

Die Farbe kann durch Doppelklick mit der linken Maustaste geändert werden. Es erscheint dann ein Dialog mit drei Reglern. Der 1. steht für den rot-
Anteil, der 2. für den grün-Anteil und der 3. für den blau-Anteil der Farbe. Mittels Ok wird die Farbe für den gewählten Knoten geändert.
Die Farbwerte zwischen zwei Knoten werden linear interpoliert.

