VisLU 1 Dokumentation
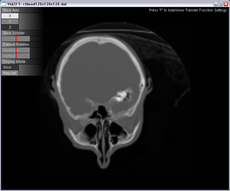
Das Programm kann DAT-Files einerseits im Slicing-Modus, als auch mittels Raycasting darstellen.
Beim
Programmstart wird eine Konsole angezeigt, die sämtliche DAT-Files im
"dat"-Verzeichnis anzeigt und nummeriert. Durch Eingabe der Nummer und
Bestätigung mit 'Enter' kann der Datensatz geladen werden.

Nach
der Bestätigung startet das Programm die Ladeprozedur und zeigt das
Hauptfenster an. Mittels der Steuerelemente kann jetzt durch den
Datensatz gescrollt werden. Es stehen je 3 Buttons für die
Slicing-Richtung, als auch ein Scroll-Element zum Navigieren im
Datensatz zur Verfügung.
