Programm Dokumentation für erstes Beispiel

Einleitung

Übungsteilnehmer:
Christian Basch und Stefan Marek
Diese Seite dient zur Dokumentation der Ergebnisse, die bei der Laborübung Visualisierung von uns erzielt wurden. Für die Übung wurden folgende Visualisierungsarten implementiert: Slicing, Compositing, MIP, Average Intensity, First Hit, Shading.

Aufgabenstellung

Die erste Aufgabenstellung für die Laborübung Visualisierung lautet:
Es ist ein Programm zu erstellen, welches die Visualisierungsarten Volumerendering und Slicing implementiert. Als Benutzerinput ist dabei eine Transferfunktion zu erstellen, welche eine Farbzuordung sowie das manuelle Einstellen von Opazitätswerten zulässt. Aus der Transferfunktion soll die Lookup Table erstellt werden, welche für die Farb und Opazitätszuordung beim Visualisieren ermöglicht. Das Slicing soll in die 3 Hauptrichtungen möglich sein. Das Volumerendering soll bilinear sowie trilineare Interpolierte 3D Volumensansichten ermöglichen, wobei mindestens die Technik des halbtransparenten Volumenrenderings (compositing) verwendet werden soll.

Programm

Alternativtext

Die Abbildung zeigt das Programm, welches nach dem Starten der Datei vislu.exe zur Verfügung steht.

Funktionalität

Slicing Options:
Nachdem der Datensatz geladen wurde, können alle Slices (Schichten) über das Bedienelement "Slice View" in XY, XZ oder YZ Richtung angezeigt werden, indem eine der Checkboxes und über den Slider die Schicht gewählt wird. Weitere Anzeigearten wie Gradienten, Intensitäten mit Opazitäten finden sich im Hauptmenü "Slice Options"

3D-View:
In dem Bedienelement "3D-View" kann die Kameraeinstellung verändert werden. Über die Checkbox "Preview" wird das verändern der Kameraposition angezeigt. Vorsicht für die Preview sollte eine möglichst niedrige Auflösung gewählt werden!

Resolution:
Die Auflösung lässt sich über das Hauptmenü "Resolution" oder über die Textfelder im Bedienelement "Resolution" verändert werden. Die Auflösung verändert die mittels Raycasting erzielte Bildgröße.

Render Options:
Der Menüpunkt "Render Options" erlaubt die Wahl der verschiedenen Renderarten. Es kann zwischen "Front to Back" oder "Back to Front" Compositiong, sowie First Hit, Maximum Intensity oder Average Intensity gewählt werden. Für First Hit Rendering kann im Bedienelement "First Hit" der Intensitätswert im Textfeld eingegeben werden. Weiters findet sich im Bedienelement "Render Options" ein Textfeld zum Einstellen der Abtastschrittweite des "Ray Casting" Algorithmus.

Filter Options:
Der Menüpunkt "Filter Options" ermöglicht die Wahl der "Nearest Neighbour" und Trilineare Interpolation.

Viewing:
Es stehen sowohl parallele also auch perspektivische Projektion als Option im Hauptmenü "Viewing" zur Verfügung.

Shading:
Für die Beleuchtung stehen mehrere Möglichkeiten zur Verfügung:
Phong und Phong Blinn Shading als Optionen für perspektivische Projektion,
Phong Levoy Shading als Option für parallele Projektion und
Ambient Diffuse Shading für perspektivische und parallele Projektion.
Im Bedienelement "Shading Options" finden sich Textfelder für die Eingabe der Beleuchtungskoeffizienten. Außerdem kann im Bedienelement "Depth Cueing" die von Levoy vorgeschlagene lineare Beleuchtungsabschwächung der Lichtquelle gewählt werden. Dafür stehen zwei Textfelder zur Verfügung, wobei das linke Textfeld den konstanten und das rechte Textfeld den linearen Anteil der Tiefenabschwächung ermöglicht.

Die Transferfunktion:
Alternativtext
Nachdem der Datensatz geladen wurde, zeigt die Transferfunktion die Verteilung der in dem Datensatz vorkommenden Intensitätswerte als Histogramm. Transferpunkte können über die Maus durch betätigen der linken Maustaste auf dem Histogram gesetzt werden. Jedem Transferpunkt kann eine Farbe und eine Opazitätswert zugeordnet werden. Die Farbzuordnung ist im Gradientenfeld unterhalb des Histogrammes sichtbar. Einem Transferpunkt wird eine Farbe zugeordnet, indem er mit der linken Maustaste selektiert wird und darauf der Button "Select Color" gedrückt wird. Die Opazität ergibt sich aus der gesetzten Höhe des Transferpunktes im Histogramm.

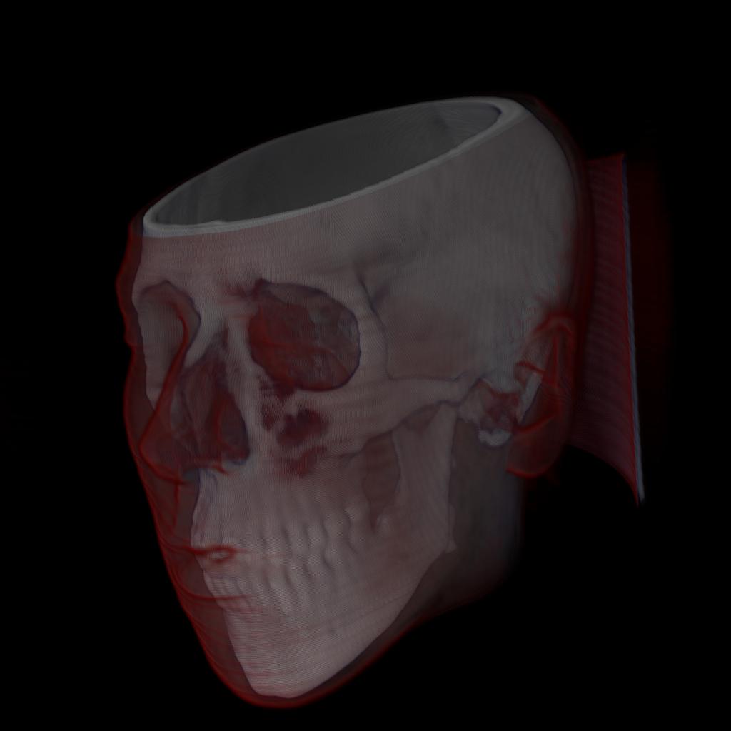
Ergebnisse

Alternativtext Alternativtext
Shading Shading with Depth Cueing
Alternativtext Alternativtext
Front to Back Compositing Back to Front Compositing
Alternativtext Alternativtext
lobster MIP
Alternativtext Alternativtext
First Hit Average
Alternativtext Alternativtext
Alternativtext Alternativtext
Alternativtext Alternativtext
Alternativtext Alternativtext
Alternativtext Alternativtext

Link zum Beginn der Seite.