Laborübung Visualisierung WS 2002/2003 
[Teilnehmer]
[Zweck]
[Benutzerführung & allgemeine Erklärungen]
[Screenshots]
Teilnehmer:
Martin Artner (9825089)
Caroline Langer (9825633)
[go to top]
Zweck:
Dieses Programm dient zur Visualisierung von Volumensdaten. Der
User kann sich zwischen einer Darstellung der Slices oder einer
Darstellung des gesamten Datensatzes entscheiden. Für die
direkte Volumsvisualisierung wurde ein Front-To-Back Algorithmus
für das raycasting verwendet.
[Video to our Programm]
[Executable]
[Source (kontaktiere die Übungsleitung)]
[go to top]
Benutzerführung:
[Transferfunktionen]
[Verändern der Bildgröße]
[Slicing]
[Volume rendering]

Dieses Bild zeigt das User-Interface direkt nach dem Start des
Programms. Es sind zunächst alle Funktionalitäten
deaktiviert. Man kann unter File->Open einen Datensatz laden.
Daraufhin werden die Fenster "View Mode" und "Transfer Function"
aktiviert und das Histogramm zum Datensatz wird in das weiße
Fenster rechts unten gezeichnet.
Der Benutzer kann nun Slicing oder Volume-Rendering betreiben und
zu diesem Zweck Transferfunktionen und Bildgröße
variieren:
Transferfunktionen
editieren:

Die Default-Einstellung sind Graustufen, die durch "weiß"
mit von steigenden Dichtewerten ansteigenden alpha-Werten
realisiert sind.
Der Benutzer kann in diesem Fenster seine trapezförmigen
Transferfunktionen händisch editieren. Dazu gibt er wie in der
Skizze angedeutet den Ursprung(origin), distancetop (dt),
distancebottom (db) und die Opazität angeben. Mit "add" wird
die Transferfunktion hinzugefügt, mit apply die gerade
Ausgewählte verändert und mit del die gerade
Ausgewählte gelöscht. Die Änderungen sind sofort im
Histogramm ersichtlich.
Daneben kann man Transferfunktionen auch abspeichern und laden und
auch alle Transferfunktionen auf einmal löschen (New
Transferfunction).
Bildgröße
ändern:

Slicing:
Hier kann der User die Slices nach den Hauptachsenrichtungen
ansehen. Ist die checkBox "render at once" aktiviert, so wird bei
jeder Änderung des Sliders oder des Textfields die Ebene neu
gezeichnet. Bei Vergrößerung bzw. Verkleinerung des
Bildes zum Original werden die Farbwerte bilinear
interpoliert.
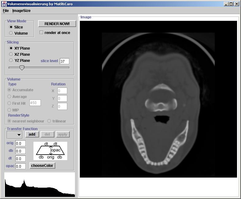
Das Bild zeigt eine Ebene einer Computertomographie mit
Bildgröße 512x512 und den Default-Einstellungen zur
Transferfunktion.

Volume Rendering:
Der Algorithmus beruht auf dem Paper von [ Marc Levoy:
Display of Surfaces from Volume Data]. Der Algorithmus arbeitet
von Front to Back. Im Userinterface kann die Art der Interpolation
der Dichtewerte (closest neighbour oder trilineare interpolation)
angegeben werden.
Das Blickfeld kann durch Winkelangaben auf einer Kugel um den
Datensatz kreisen. Die Winkelangaben beziehen sich auf die drei
Hauptachsen.

Implementiert wurden folgende Modi:
Accumulate: Compositing- man kann durch transparente
Schichten durchsehen, bis die Opazität einmal aufgefüllt
ist.
Average: von jedem Blickstrahl wird der
Durchschnittsdichtewert gemessen und dann dessen Farbe
dargestellt.
First Hit: Hier kann ein Schwellenwert eingestellt werden.
Jener Punkt, den der Blickstrahl als erstes trifft und dessen Wert
größer als der Schwellenwert ist, wird dargestellt.
MIP: maximum intensity projection- der Punkt entlang eines
Blickstrahls mit dem höchsten Dichtewert wird dargestellt.
[go to top]
Screenshots:

First Hit mit treshold 450, Winkel 0/-15/-60, Vergleich
nearestneighbour(li) vs. trilinear(re.) (340x340)

First Hit mit treshold 1300, Winkel 0/-20/-65, Vergleich
nearestneighbour(li) vs. trilinear(re.) (340x340)

Accumulate (Compositing), Winkel 0/320/310, Auflösung
512x512

Accumulate (Compositing), Winkel 0/220/15, Auflösung
512x512

Average mit default-Transferfunktion, Winkel 0/0/0, Auflösung
original

MIP mit default-Transferfunktion, Winkel 0/0/0, Auflösung
original

Slice mit x=84 auf yz-Ebene, Transferfunktion siehe Histogramm
[go to top]
|